We recently announced a new edition of Esthetic and Restorative Dentistry: Material Selection and Technique by Dr Douglas Terry.
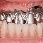
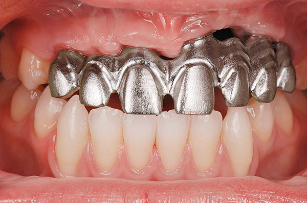
One of the best features of this updated edition is the inclusion of hundreds of new photographs taken with improved techniques such as ring flash and bilateral flash. These new illustrations greatly enhance the clinical applications and procedures included in each chapter. Preview some of these high-quality images in the gallery below.
If you would like a signed copy of this book, be sure to order from this link before February 4!





